Manejo del ACV en la Emergencia

El ataque cerebreovascular se define como la presencia de signos clínicos que se desarrollan en forma súbita o rápida y responden a una alteración focal de la función cerebral de origen vascular

El ataque cerebreovascular (ACV) se define como la presencia de signos clínicos que se desarrollan en forma súbita o rápida y responden a una alteración focal de la función cerebral de origen vascular.

Constituye la primera causa de discapacidad a nivel mundial y ocupaba el segundo lugar como causa de muerte en el mundo.

Según datos de la comisión honoraria de salud cardiovascular en Uruguay, en el año 2012 fallecieron 2.542 personas por ACV (7 personas murieron / día de las cuales 4 eran mujeres). Uruguay tiene una incidencia de 131 casos/100.000 hab. /año.
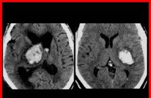
El diagnóstico de ACV es clínico - tomográfico, pudiendo ser según su naturaleza isquémicos (80%) o hemorrágicos (20%).

La presencia de síntomas neurológicos de forma brusca como ser pérdida de fuerza de un hemicuerpo, déficit de la sensibilidad de un hemicuerpo, trastornos del habla, déficit en el campo visual, alteraciones en la marcha o en la coordinación entre otros son los síntomas que deben hacernos pensar en la presencia de un ACV y por tanto consultar de forma urgente.
Los ACV isquémicos o infartos cerebrales se definen como la presencia de signos clínicos de causa vascular que tienen una duración mayor a una hora y se acompañan de lesión isquémica aguda demostrada en la imagenología. La duración de los síntomas menor a una hora se define como accidente isquémico transitorio (AIT).

Los ACV hemorrágicos o hematomas se definen por la presencia de sangre en el parénquima cerebral.
La enfermedad cerebrovascular aguda es una emergencia neurológica, sabiendo que frente a la presencia de un infarto cerebral se mueren 2.000.000 neuronas por minuto; por lo que tiempo es cerebro.
En el infarto cerebral existe un tratamiento con clase de evidencia IA que logra desobstruir la arteria ocluida pudiendo con dicho tratamiento revertir los síntomas de ACV. Dicho tratamiento es en base a una medicación que se administra de forma intravenosa llamada activador tisular recombinante del plasminógeno(r-TPA). La misma se puede administra en los pacientes que sufren una infarto cerebral con un tiempo de instalación menor a 4,5 hs. Solo 10% a 20% de los infartos son candidatos a dicho tratamiento.

Por lo que frente a la presencia de un paciente con ACV debemos realizar un rápido diagnóstico sabiendo que existe tratamiento específico para los infartos cerebrales que está determinado por el tiempo; relacionado el mismo con el pronóstico vital y funcional del paciente a corto y largo plazo.




Documentos asociados:

DocumentoAfiche Manejo ACV en la Emergencia


Imprimir nota Recomendar nota